Zungenband 7
22. Januar 2025Heute geht es weiter mit dem Thema Zungenband. Unser heutiges Thema: Therapie eines verkürzten Zungenbandes.
Therapieoptionen

Das verkürzte Zungenband lässt sich manchmal durch die passive oder aktive Dehnung trainieren oder bei anatomisch verkürzten Zungenbändern durch die chirurgische Durchtrennung + begleiteter Dehnungs-/Übungstherapie.
Dehnen
passives Dehnen
Bei Säuglingen lässt sich das Zungenband mit Hilfe eines Lipers passiv dehnen.
aktives Dehnen
Das aktive Dehnen kann in Form des Stillens im Säuglingsalter gefördert werden. Bei Kleinkindern und Kindern kann im Rahmen einer logopädischen Therapie durch verschiedene Dehnübungen ein Therapieerfolg erzielt werden.
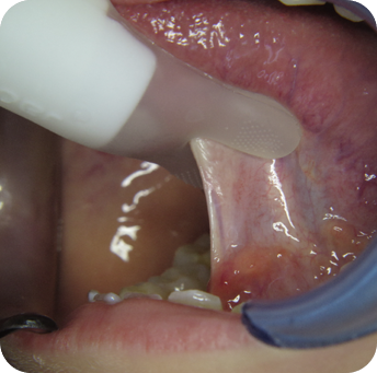
Chirurgische Durchtrennung
Das verkürzte Zungenband lässt sich in ein anteriores und posteriores Zungenband einteilen. Diese Einteilung ermöglicht dem Chirurgen eine erste Einschätzung bzgl. des Therapieerfolges.

Quelle: https://starkesprache.de/zu-kurzes-zungenband/
Die chirurgische Durchtrennung kann mit Hilfe einer Schere, eines Skalpells oder eines Laseres durchgeführt werden.
Die Kombination aus der Verwendung eines Skalpells und eines Laseres wird häufig bevorzugt. Die Behandlung kann je nach Patient unter Lokalanästhesie oder einer kurzen Sedierung erfolgen.
Schlussfolgerung
Ob die ausschließliche Dehnung oder die Kombination aus Dehnung und chirurgischer Durchtrennung als Therapieform gewählt wird, ist individuell zu entscheiden und sollte stets in enger Rücksprache zwischen Behandler/Chirurg/Logopäden/Kinderarzt und Eltern erfolgen.
Für einen Therapieerfolg ist eine interdisziplinäre Zusammenarbeit ausschlaggebend. Die chirurgische Durchtrennung des Zungenbandes sollte stets durch eine myofunktionelle Therapie begleitet werden. Diese zielt auf das Erlernen von Dehnungsübungen ab, die der Patienten direkt nach der Durchtrennung unbedingt durchführen soll.
Da die Wundheilung innerhalb der Mundhöhle sehr schnell erfolgt, muss dringend rechtzeitig mit den Dehnungsübungen nach der Durchtrennung begonnen werden, da ansonsten das Risiko besteht, dass die Wunde in der ursprünglichen Form zusammen wächst.


